Audiology Research ■ Neue Forschung zeigt: Hören lässt sich trainieren – und das mit spürbarem Erfolg. Die Teilnehmenden der CCAT-Studie verbesserten nicht nur das Verstehen, sondern stärkten auch Gedächtnis und...
Audiology Research ■ Neue Forschung zeigt: Hören lässt sich trainieren – und das mit spürbarem Erfolg. Die Teilnehmenden der CCAT-Studie verbesserten nicht nur das Verstehen, sondern stärkten auch Gedächtnis und...
FRONTIERS ■ Hörverlust beeinflusst weit mehr als das Sprachverstehen – er kann die Fähigkeit, gleichzeitig zu gehen und zu denken, deutlich verschlechtern und damit Sturzrisiko, Selbstständigkeit und kognitive Entwicklung im...
DICODI ■ Ein kurzer Check für Ihr Gehirn, der sich eher wie ein Hörtest als wie eine Prüfung anfühlt – unkompliziert, alltagsnah und wissenschaftlich fundiert. Entdecken Sie mit einem Augenzwinkern,...
HWB ■ Ein Pfeifen. Ein Rauschen. Ein Ton, der plötzlich da ist — oder schon lange da war, aber immer stärker in den Vordergrund rückt. Warum Tinnitus oft mehr ist...
AdHocNews ■ Eine umfangreiche dänische Studie zeigt, dass Hörgeräte das erhöhte Demenzrisiko bei Hörverlust von 20 auf 6 Prozent reduzieren können. Frühe Versorgung wird als Schlüssel zur Prävention gesehen. Hörgeräte...
HWB ■ Der Frühling in der Schweiz kommt selten mit Pauken und Trompeten. Er kommt leiser. Feiner. Fast ein wenig scheu. Der Frühling in der Schweiz kommt nicht laut daher....
Bunte ■ Die bekannte Moderatorin Birgit Schrowange würde am liebsten 100 Jahre alt werden. Wie? Mit Gelassenheit, einem tollen Ehemann und kleinen Hilfsmitteln wie ihrem neuen Hörgerät Sie ist wirklich...
NAU ■ Messungen zeigen: Schon 30 Minuten bei 105 Dezibel können das Gehör gefährden. Viele Guggenmusiker tragen inzwischen Ohrstöpsel – doch längst nicht alle. Während der fünften Jahreszeit wird es...
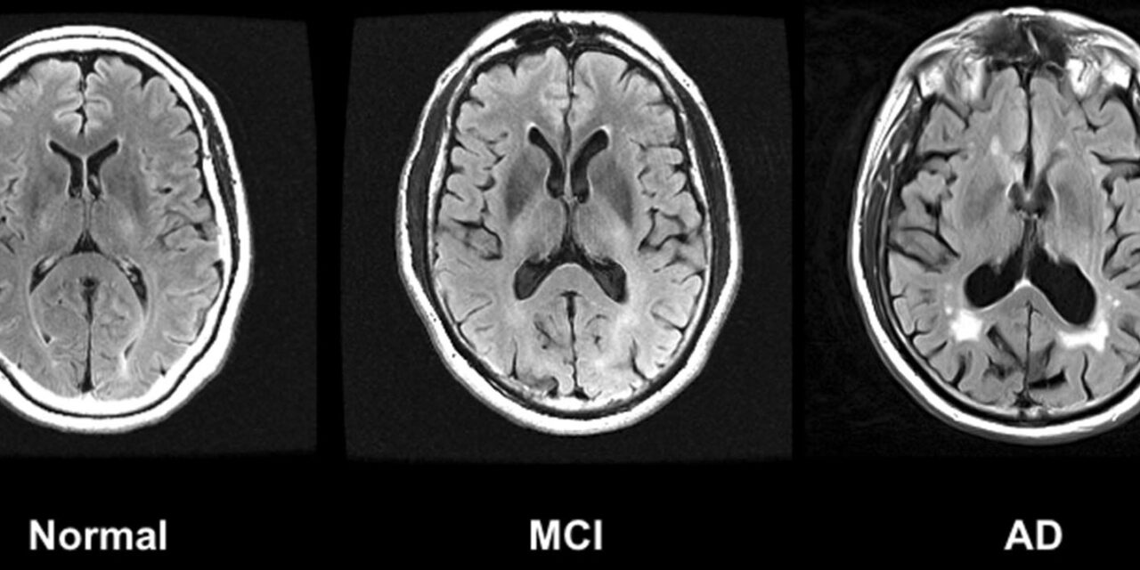
HWB ■ Kann Gehirntraining Demenz verzögern? – Was die Forschung sagt und was das für Hörtraining bedeutet. Neue Langzeit-Forschung aus einer der grössten kognitiven Interventionsstudien (Coe NB, Miller KEM, Sun...
HNO Springer/Nature ■ Das Thema Demenz ist für viele Menschen mit Sorge und Unsicherheit verbunden. Gleichzeitig betrifft es immer mehr Familien und stellt unsere Gesellschaft vor grosse Herausforderungen. Wegschauen hilft...
HWB ■ Dass unser Gehör weit mehr ist als ein Sinnesorgan, wird in der Forschung immer deutlicher. Gutes Hören spielt eine zentrale Rolle für Kommunikation, soziale Teilhabe – und offenbar...